0歳からの育活
きれいな永久歯の歯並びをつくるための0~6歳向けの子育てクラブです
歯並びが悪くなる原因のほとんどが、この赤ちゃん~幼児期に潜んでいます。
その原因を知ることができれば、矯正をしなくてもきれいな歯並びの子に育つことも可能です。
3~6歳児のお母さんの中でこんなことを思われている方はいらっしゃいませんか?
「うちの子、子供の歯にすき間がないんです。乳歯はすきっ歯がいいって聞くけど、このまま様子をみていて大丈夫かな?」

あるお母さんのお話
3歳で乳歯が生えそろって、すき間なくきれいに並んでいました。女の子だし、歯並びのいい子に育ってほしいと思っていたので、きれいに並んだ子供の歯に異常は感じていませんでした。
でも、定期健診にいくと、「虫歯はないけれど、
でも、私の見た目にはきれいに並んでいるし、ガタガタ歯並びになるなんて想像もできなくて、しばらく様子をみていました。
その後、5歳になって、初めて下の乳歯の前歯が抜けました。しばらくして大人の歯が生えてきたんですが、、、
生えてきた大人の歯をみて愕然!!
定期健診で聞いていたように、生えてきた大人の歯はガタガタしていたんです。
そして、なんごうや歯科で「今からでも口のトレーニングで歯並びをきれいにできますか?」
と聞いてみると、「大人の歯が生え始めの時期なら口のトレーニングで改善できる可能性がある」といわれました。
口のトレーニングといっても、どんなことをするのか分からなかったので、歯並び相談を受けました。3歳のときからずっと健診に通っているなんごうや歯科さんでは、歯並び相談は45分も詳しく話が聞けるのに無料でした!
そこで、衛生士さんにきいた話によると歯並びは遺伝よりも口の使い方や姿勢の悪さが原因でガタガタになってしまうケースがとても多いそうです。
「遺伝以外で歯並びが悪くなる原因の例」
-
口角の下がった口元
上の唇が富士山のような山の形をしていると歯並びが悪くなる前兆
-
いつも口がぽかんと開いている口元
口の使い方が上手じゃない証拠!
-
悪い姿勢
子供の反り腰は、歯並びが悪くなる前兆!
うちの娘もよく口が開いていて、今まで女の子だしみっともないから「口閉じなさい」とは、口癖のように言っていました。でもそれが原因で歯並びが悪くなっていたとは本当にびっくりです。
そして娘と一緒にお口ぽかんを改善するトレーニングや体のストレッチを実践して7カ月後、歯並びがよくなってきました
家でトレーニングをするだけでガタガタしていた歯並びがきれいになるなんて・・・
トレーニング前後の写真をもらって娘と大喜びしました。
そして、トレーニングを続けて1年、娘のガタガタしていた前歯はすっかりきれいになって、おまけに隣の永久歯が生えるスペースまでできました。
やっぱりすき間のない乳歯は、歯並びが悪くなる前兆だったんだと改めて思います。
そして、悪い歯並びの原因は歯が生える前から始まるようなので、もっと早くからきれいな歯並びのための子育てのコツを聞いていたらよかったなぁと思いました。
歯並びが悪くなる原因は0~6歳にあり!
たとえば、この1歳の女の子の口元。
一見子供らしい口元ですが、この口元も歯並びが悪くなる原因なんです。その原因を取らずに成長しても、口元は同じ形のままです。
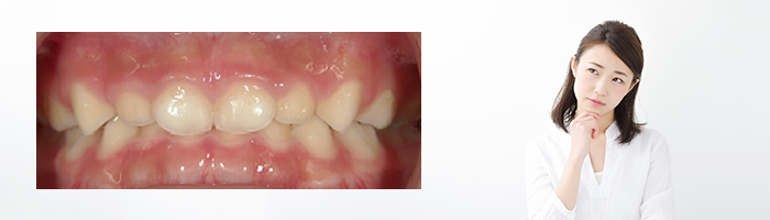
この小学生の子の歯並びを見てみると
もしもお子さんの口元が、上記の1歳の女の子の写真の口元と似ていたら、歯並びが悪くなる恐れ大です!
「歯並び」は口周りの筋肉(舌や頬や唇の筋肉)、さらには全身の筋肉が関わって形が作られるのです。遺伝の要素は少ししかありません。
姿勢と噛み合わせのつながり

例えば・・・反り腰の男の子の歯並びは上下の前歯がかみ合わない!
口元と歯並びのつながり


みなさんのお子さんは、歯並びが悪くなる原因を持っていませんか?
次のチェック項目にひとつでも当てはまると、歯並びが悪くなる恐れありです。
口元&全身のチェック項目 ~当てはまると歯並びが悪くなる恐れあり~
- 乳歯がすき間なく並んでいる
- よく鼻が詰まる
- 乳歯なのに、すでに歯並びが乱れている
- 足に合わない靴をはいている
- 口元がへんな形をしている
- 足の付かない椅子に座って食事をしている
- 周りの子と比べて滑舌が悪い
- 2歳の時点でブクブクうがいができない
- 虫歯が多い
- 「い」の発音で口角が上がらない
- 食べ物を丸呑みしている
- 唇を噛む癖がある
- 食事中飲み物をよく飲む
- 目の下にクマがある
- あまりよく嚙んで食べない
- 噛み合わせが深く、下の歯が見えない
- くちゃくちゃ口をあけて食べる
- 口を大きくあけたまま舌の先を上アゴに付けられない
- 寝ているとき口が開いている
- 花粉症やアレルギーがある
- 起きているときも口があいている
- テレビを見るときの姿勢が悪い
- 寝るときによく横・下を向いて寝る
- 赤ちゃんのとき、ハイハイをあまりしなかった
- 反り腰
- 何もないのによく転ぶ
- 転んだときに手をつくことが出来ずに顔を怪我した・歯を打った経験がある
チェックに当てはまった方は、ぜひ一度なんごうや歯科に歯並び相談にいらしてください。
虫歯と同じで、歯並びも予防ができます!
歯並びが悪くなる原因を早期発見できれば毎日お家でトレーニングをするだけで歯並びが良くなる可能性大ですよ。
0歳からの育活 でどんなトレーニングをするの?
例えば・・・
歌を歌いながら口の体操♪
ガムや食べ物で、前歯や奥歯の正しい使い方の練習♪
ママと遊びながら、きれいな姿勢の筋肉アップ!の方法をお伝えします♪
口を閉じる筋肉を専用の道具で楽しくトレーニング♪
子供たちにはぜひ鼻呼吸をしてほしい!なんごうや歯科の願いです。
口呼吸と鼻呼吸についてご紹介します
口呼吸は・・・
1.歯並びが悪くなる
歯並びがキレイになるために欠かせないことは、舌が上アゴにいつも触れていることです。口で呼吸をしている人は舌が下あごに落ち込み歯並びが悪くなる原因になります
2.顔がのっぺりする
口が開いていると頬の筋肉の成長が止まってしまい、頬の辺りが平らな「のっぺり顔」になってしまいます
3.キレやすい、集中力がない
口呼吸は鼻呼吸と違って浅い呼吸です。呼吸が浅いとアドレナリンというホルモンが分泌されます。アドレナリンは、ストレスの原因のホルモンで、落ち着きがなくなったり、ちょっとしたことで怒りやすい状態を作ります。
4.虫歯・歯周病になりやすい
口の中で、虫歯菌や歯周病菌を退治してくれるのが唾液です。口で呼吸をしていると唾液がとっても減少するので虫歯・歯周病のリスクがグーンと上がります。
口臭の原因にもなります。
5.風邪をひきやすい
口で吸った息は、そのまま体の中へ取り込まれます。つまり空気の中にいるウィルスや細菌をそのまま体内へ入れてしまうので風邪を引きやすく、治りにくくなります。
6.全身の骨がゆがむ
大人の頭の重さは約5kgです。口が開いていると、この5kgの重さが前に倒れてしまいます。その重さに耐えるために体全身の骨がいろんな方向に歪んでバランスをとろうとします。体のゆがみの原因は口にもあるのです!
鼻呼吸は・・・
1.歯並びが良くなる
鼻で呼吸をしている人は、舌がいつも上アゴに触れているので、舌の圧で上アゴが成長して、キレイに歯が並びます!
2.笑顔がかわいくなる
鼻で呼吸をする人は上アゴが正しく成長します。上アゴの骨が正しく成長すると、目の下の頬にふっくらした笑顔の筋肉が育ってくれます♪
3.痩せる!
鼻での呼吸は「腹式呼吸」と言って、お腹をしっかり使う呼吸です。
呼吸するたびにお腹の筋肉を使うので、口で呼吸をする胸式呼吸の人よりも痩せやすくなります♪
4.姿勢が良くなる
鼻呼吸はいつも姿勢が正しくなければできない呼吸です。姿勢と呼吸の筋肉は密接につながっているので、鼻呼吸で一緒に姿勢も美しい人になることができます!
5.勉強が得意になる
鼻で呼吸をすると深い息ができます。つまり酸素をたくさん取り込めるので脳細胞のすみずみまで酸素を届けることができて、細胞が活性化♪集中力がアップして、勉強もはかどります
6.運動も得意になる
口で呼吸をする人は、体全体が後ろに倒れるような姿勢になっています。
それに比べて、鼻で呼吸をする人は、前に向かう筋肉がきちんと出来上がります。スポーツは全て前へ力を発揮するものなので、筋肉に合った動きができる鼻呼吸の人は、運動も得意になります!
0歳からの育活
- 対象年齢:0~6歳
- 歯並び相談:無料
- 初回(写真や口元の癖のチェックと初回のトレーニング):¥11,000
- 2回目以降 トレーニング:¥8,800(2週間~1ヶ月に1回の来院が目安です)
お子さんの口元や姿勢の癖をチェックして、それに合わせたトレーニングをお伝えします。
それを自宅で実践していただき、2週間~1か月ごとに成果をチェック。うまく達成していれば次のトレーニングに進みます。約2年を目安にトレーニング完了を目指しましょう!
0歳~の、より低年齢なお子さんには、保護者の方がお家でできる「鼻呼吸&歯並びのための赤ちゃんケア」をお伝えして、健やかな子育てをサポートしています